Railaco, Kasait, Maubara and Maliana
June 20 to July 5
Team 3 followed a well travelled path, following the same itinerary that we have used for the last few years.
However, this year we had a new addition with Dr Charlotte accompanying us for the two weeks. She was the recipient of an ICD scholarship that enabled her to spend time volunteering overseas and we were fortunate to have her join the TLDP. Team 3 also included our long-time Timorese colleagues , Ana Paula, Ana Martins and Tino Morais and also our recent Timorese recruit, Dr Delsita Martins.

Tino, Ana Paula, Dr Henry, Dr Delsita, Dr David, Dr Charlotte and Ana Martins
Dr David and Dr Henry arrived together into Dili on Friday, June 20 after travelling from Australia with the usual odds and ends of dental stock that the new team would require. A well worn path ensued, picking up the Troopy from Mario and Judite at Dom Bosco, shopping for provisions, mozzie coils, paper towels and the like at the Leader supermarket, collecting Ana Martins on the outskirts of town and then heading southwest for the hour long drive to Maubara. We store all of our stock and portable equipment at our Maubara Clinic which is hosted by the Carmelite Sisters. Stocktaking and packing of the Troopy and the Sisters Landcruiser took a few hours before we retired to enjoy a well earned beer.

The next morning saw us screening the children from the local orphanage, generally good teeth courtesy of the watchful eyes of the Sisters but the usual conundrum of potential ortho extractions without the ortho.
Then Dr David and AM departed in the Troopy for Railaco and Father Bong and his fellow Jesuits whilst Dr Henry headed back to Dili to collect Ana Paula and gather Dr Charlotte from her afternoon flight before also heading up into the hilltop destination of Railaco.
Somehow we squeeze 4 dental chairs and the plethora of equipment needed into Father Bongs medical surgery.
Having our presence broadcast at the big Sunday mass ensures that our clinic is busy for the next 4 days.

We have been coming to Railaco for a number of years now and it is heartening to see the improvement in the oral health of the children attending the large boarding school close to our makeshift surgery. We can see the real world effects of removing non viable first molars and having the teeth behind close the gap. Also we can assess how our silver fluoride/ glass ionomer restorations are protecting and saving teeth.

The Jesuits are good hosts and enjoy our company with interesting conversations around the meal table.
The days pass in a haze of mosquito coil smoke and finally it is time to load the cars and make an early morning departure for Kasait where we are to work in a community hall, close to the main highway just southwest of the port of Tibar. It’s hot and noisy with our overworked fans blowing away the diesel fumes whilst trying to keep us cool. However, our presence was appreciated by the locals and we had a busy day and a half of clinical activity.



Lunch is nearly ready!
Then the team moved onward to Maubara where we enjoyed dinner at the orphanage with the Carmelite Sisters. The highlight is the distribution of presents to the children……T-shirts, balls, bubble blowers elicits a lot of gaiety.

Our second week is to be spent in Maliana, a regional town about 3 hours distant. An early start sees us at Balibo where we enjoy pizza and beer at the Balibo Fort cafe. Then onward to our clinic in the Maliana hospital. We enjoy a good relationship with the Director and his staff and they help us unpack into the unused clinic built to cater for Covid patients who never came.
Somewhat disconcertingly, we share the building with the TB clinic.


The spacious clinic allows us to set up our 3 chairs, each with its own portable cart and suction. Whilst in the room next door, some surplus hospital beds make for an impromptu extraction clinic.
We asked the hospital if they could provide some coffee…..it came with biscuits and 5 kilos of sugar. What more could a dental team need!



Dr Charlotte was inducted into the “rooftop bar” hall of fame. We are still waiting for the owner to build the second storey.


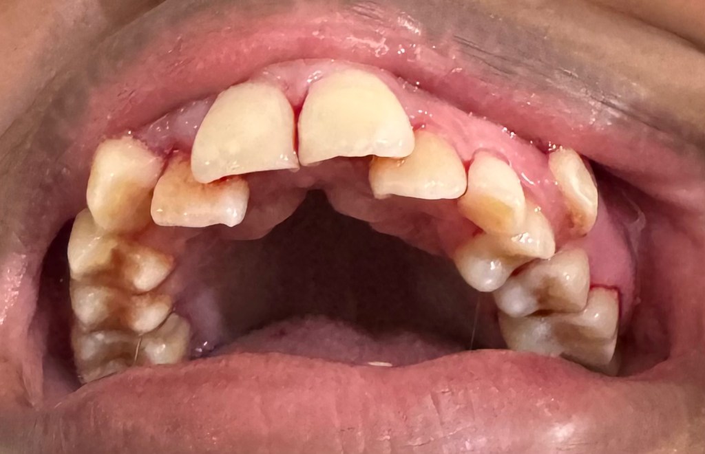
Deconstructing an acrylic bridge.


After 5 busy days in our Maliana hospital clinic it is time to pack up and leave. We have a quite formal meeting with the hospital hierachy where we present our impressive statistics and then there is the requisite photos. Their dental clinic is woefully short of many things and they ask us if we could help by providing some odds and ends when we come next year.



Then it is into the cars and we set off for Maubara with a stop at a roadside Warung for lunch.

Some of the orphanage children pose for a pic with Dr David and Dr Charlotte
Unpacking and stocktake completed in Maubara we decamped to Dili for some well deserved refreshments at the Timor Plaza Sunset Bar to celebrate a successful Team 3